Dental Articles
56 clinical articles written by leading dental experts

Preventative Therapy
The Most Minimally Invasive Way to Treat Decay
Did you know that combining silver diamine fluoride with the application of glass ionomer can be a long-term solution for restoring a badly decayed tooth? Altho...
Read Article →

Practice Management
Advice for New Dentists Who Want to Succeed
You finally finished dental school and, perhaps, a residency. Your head is crammed with knowledge and you’re excited to launch your career. Woo hoo! What advice...
Read Article →

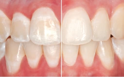
Direct Restoratives
Those Pesky White Spots: Now You See Them, Now You Don’t
We’ve all seen the white spot lesions on our patient’s teeth. By any measure they’re not particularly aesthetic, and most patients would love for them to disapp...
Read Article →

Public Health
The Rewards & Challenges of Working at a Community Health Center
There are over 1,400 community health centers in the U.S., and these centers serve 31.5 million patients a year at more than 15,000 service sites. What is it li...
Read Article →

Adhesives/Cements
Unlocking Adhesive Excellence in Zirconia Bonding
It seems that zirconia is all the rage these days. But many dentists wonder if you can really bond it to the underlying tooth structure. Can you go with a minim...
Read Article →

Special Care
Making Dental Care Accessible for Patients with Special Needs
General dentists are the first line of defense for the adult population with intellectual and developmental disabilities. As one dentist discovered, successfull...
Read Article →

Direct Restoratives
Anterior Direct Composite Restorations: The Ultimate Additive Solution
If you’re a dentist who is artistic, enjoys creating beautiful anterior restorations and truly cares about conserving tooth structure, then you will probably fi...
Read Article →

Direct Restoratives
Overcoming Sensitivity with Direct Restoratives
You work so hard to make a beautiful restoration. The patient is thrilled when they leave your office – but they’re still numb. Then they go home, the numbness ...
Read Article →

Direct Restoratives
The Case for Single Shade Composites
What’s a great way to decrease your chair time and lower your overhead while still producing great aesthetic results? Switch to single shade dentistry!
Read Article →

Crown/Bridge/Veneers/Indirect
3 Reasons to Use Fully Crystallized Lithium Disilicate Blocks
When you think of milling lithium disilicate blocks, you probably assume that those blocks will need to be fired prior to use – a step that adds time and expens...
Read Article →

Direct Restoratives
7 Tips for Success with Direct Composites
If you’re a general practitioner, placing direct composites is something you do quite frequently. And yet, for a seemingly straight-forward procedure, things ar...
Read Article →

Implants
Digital Solutions for Implant Dentistry
Digital dentistry has revolutionized our profession. In fact, if you are doing implants without taking advantage of today’s digital technology, you’re missing o...
Read Article →